Quantra™ Technologie

Standardisierte Brustdichte-Analysen mit maschinellem Lernen am Behandlungsort.

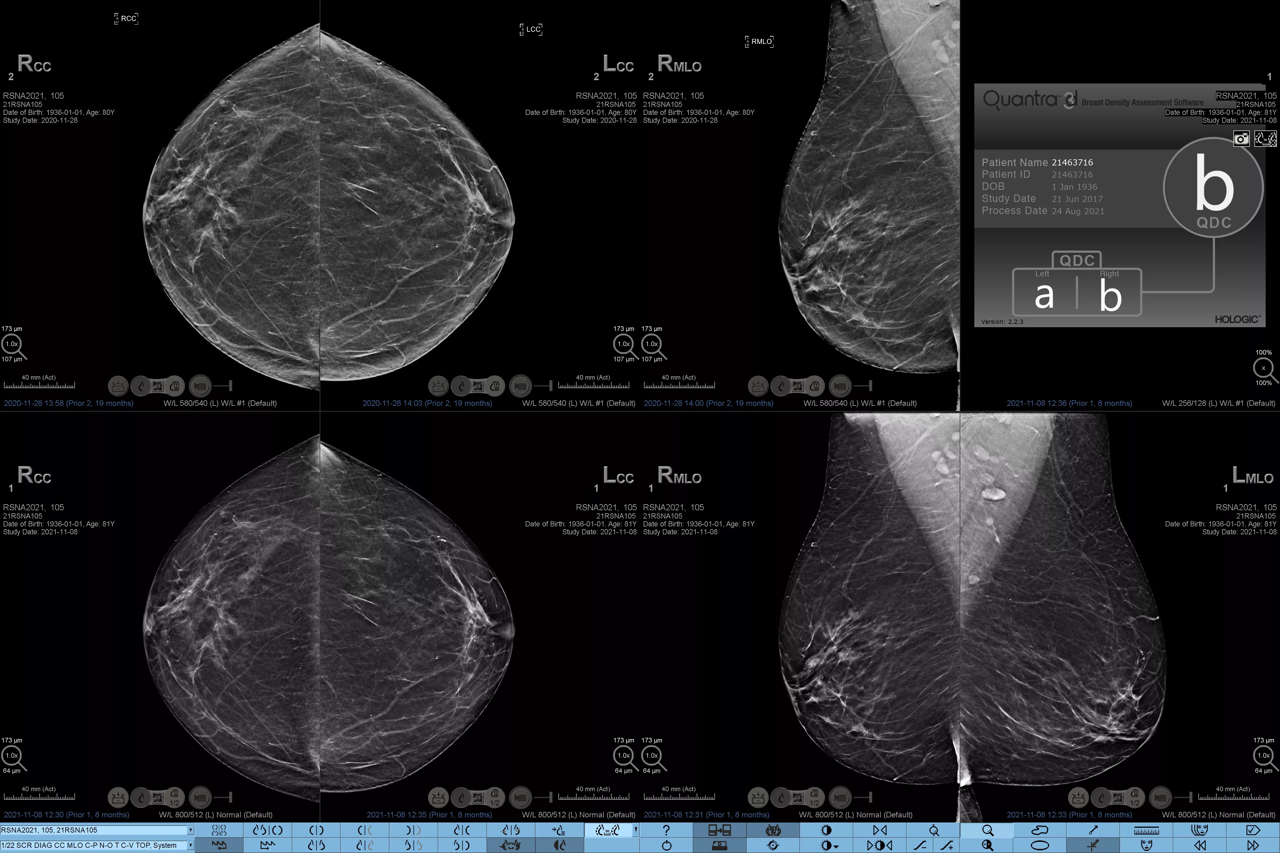
Hologic Quantra™ Technologie

    Übersicht

    Dokumente

    Schulung

    Standardisieren Sie die Brustdichte-Analyse

    Eine höhere Brustdichte geht bekanntlich mit einem höheren Brustkrebsrisiko einher.1 Eine präzise, objektive Analyse ist daher entscheidend. Die durch maschinelles Lernen unterstützte Software der Quantra Technologie analysiert sowohl 2D™- als auch Tomosynthese-Bilder in Bezug auf Verteilung und Textur des Parenchymgewebes. Sie teilt die Brüste entsprechend der Leitlinie der 5. Auflage des BI-RADS Atlas des American College of Radiology (ACR) nach ihrer Zusammensetzung in vier Brustdichte-Kategorien ein.2

    Bessere Risikovorhersage

    Neben dem Volumen können die Struktur und Textur des fibroglandulären Gewebes bei der Vorhersage des Brustkrebsrisikos eine ebenso wichtige Rolle spielen.3-5 Durch die Analyse und Einstufung der Brusttextur und -struktur der Patientin liefert unsere Technologie präzise Informationen, die Sie für eine konsistentere, zuverlässigere Bewertung und die zuverlässige Konzeption patientenspezifischer Vorsorgeuntersuchungen brauchen.

    Objektive Beurteilung

    Objektiver Machine-Learning-Algorithmus, der die Brustdichte-Kategorie auf Basis der Analyse von Textur und Muster des Brustgewebes zuordnet.

    Standardisierung

    Höherer Therapiestandard und standardisierte Befundung in der gesamten Radiologiepraxis.

    Besserer Patientenpfad

    Zeigt die Dichte auf der Bedienkonsole an, um Patientenmanagement-Protokolle für ein eventuelles ergänzendes Screening bereitzustellen.

    Darstellung des Hologic Continuum of Care in der Brustgesundheit mit Radiologie

    Maximaler Zeitvorteil

    Das Continuum of Care in der Brustgesundheit bietet integrierte Lösungen für klinische Sicherheit, Workflow-Effizienz und eine einfühlsame Patientenversorgung. Damit mehr Frauen länger gesünder sind.

    Die Quantra-Technologie ist Teil der Lösung für Screening und Diagnose von Hologic.

    Entwicklungsziel und klinische Leistung

    Der objektive Algorithmus der Quantra-Software analysiert sowohl 2D- als auch Tomosynthese-Bilder und unterstützt Sie bei Ihrer Analyse durch:

    • Unabhängigkeit von subjektiver visueller Beurteilung für eine konsistentere und zuverlässigere Einstufung.*
    • Höheren Therapiestandard und standardisierte Befundung.
    • Patientenmanagement-Protokolle für ergänzende Bildgebung.
    Bildgebende Brust-Scans
    Frau, die sich im Krankenhaus am Empfang der Brustbildgebungsabteilung nach der Untersuchung und Diagnose erkundigt

    Besuchen Sie unser virtuelles Krankenhaus

    Sehen Sie sich unser Lösungsportfolio für die Brustgesundheit in 3D an. Nutzen Sie den maximalen Zeitvorteil entlang des gesamten Continuum of Care in der Brustgesundheit.

    Integrierte KI-gestützte Softwarelösungen von Hologic

    Unsere Produkte sind aufeinander abgestimmt und können gemäß Ihren Bedürfnissen personalisiert werden. Unser Paket aus integrierten zukunftssicheren KI-Lösungen ist dazu konzipiert, eine bessere Früherkennung und Diagnose von Brustkrebs, einen schnelleren Workflow und eine personalisierte Patientenversorgung mit automatischer Beurteilung der Brustdichte zu ermöglichen. Besprechen Sie Ihre klinischen Anforderungen mit unserem erfahrenen Team, um die beste Lösung für Sie zu finden.

    Risikokategorien8

    Evidenz. Einblicke. Zusammenarbeit.

    Unser Bildungsportal verbessert die Patientenversorgung durch hervorragende Schulungen, die Vermittlung klinischer und wissenschaftlicher Fakten sowie Partnerschaften mit den medizinischen Fachkreisen.

    Einblicke

    Radiologen bei der Durchsicht einer Tomosynthese-Mammografie auf einem Bildschirm Radiologen bei der Durchsicht einer Tomosynthese-Mammografie auf einem Bildschirm

    Die Ergebnisse der ToSyMa-Studie, eine 3D-Zukunft für die Brustkrebs-Vorsorgeuntersuchung

    Frauen vor einem Mammografiegerät mit medizinischem Fachpersonal an der Seite. Frauen vor einem Mammografiegerät mit medizinischem Fachpersonal an der Seite.

    Gegenwart und Zukunft der Programme für Brust- und Gebärmutterhalskrebs-Screening

    Arzt und Patientin im Gespräch über Brustkrebs Arzt und Patientin im Gespräch über Brustkrebs

    Minimalinvasive nichtoperative Brustkrebsbehandlungen

      *Die Scores basieren auf den ACR BI-RADS-Kategorien nach den revidierten Leitlinien der 5. Auflage des vom American College of Radiology (ACR) herausgegebenen BI-RADS-Atlas. Dadurch werden Struktur und Textur im Vergleich zum Volumen bei der Dichtebestimmung berücksichtigt.
      * Ausgehend von 8 Stunden Bildauswertungszeit pro Tag.
      1. Rafferty EA, Durand MA, Conant EF, et al. Breast Cancer Screening Using Tomosynthesis and Digital Mammography in Dense and Nondense Breasts. JAMA. 2016 Apr 26;315(16):1784-6.
      2. BI-RADS-Atlas des ACR, 5. Auflage. 2013, Abrufbar unter: https://www.acr.org/Clinical-Resources/Reporting-and-Data-Systems/Bi-Rads (abgerufen im:). Nov. 2019)
      3. Zuley M, Guo B, Catullo V, et al. „Comparison of Two-dimensional Synthesized Mammograms versus Original Digital Mammograms Alone and in Combination with Tomosynthesis Images.“ Radiology. 2014 Jun;271(3):664-71. Epub 21. Jan. 2014
      4. Durand M, Raghu M, Geisel J, et al. „Synthesized 2D Mammography + Tomosynthesis: Can We See Clearly?“ (beim Jahrestreffen der Radiological Society of North America vorgestelltes Paper, Chicago, IL, Dezember 2015).
      5. Choi J, Han B, Ko E, et al. „Comparison with Two-Dimensional Synthetic Mammography Reconstructed from Digital Breast Tomosynthesis and Full Field Digital Mammography for the Detection of T1 Breast Cancer.“ European Radiology. Aug. 2016;26(8):2538-46. Epub Dez. 2015
      6. Hologic Datenarchiv: DHM-08611 Rev 006.
      7. Archivdaten: Klinischer Studienbericht CSR-00116, Rev 004.
      8. Brustzusammensetzungskategorien gemäß ACR BI-RADS-Atlas.

       

      2797

      Hologic BV, Da Vincilaan 5, 1930 Zaventem, Belgium.

      Kennnummer wo zutreffend