Horizon® DXA System

Stellen Sie fundierte Diagnosen für sichere Behandlungsentscheidungen. Bieten Sie Ihren Patientinnen und Patienten eine leistungsstarke Versorgung für ein bewegtes Leben.

Patientin auf Scan-Tisch im Untersuchungsraum

    Übersicht

    Dokumente

    Schulung

    Ein DXA System, das mehr kann

    Das Horizon DXA System von Hologic erzeugt scharfe, klare und hochauflösende Bilder, die Sie für eine präzise Beurteilung von Knochendichte, Frakturrisiko, Körperzusammensetzung sowie Kalkablagerungen in der Bauchaorta benötigen. Und das alles in einer einzigen Untersuchung. Das System vereint eine Vielzahl modernster, firmeneigener Technologien, die Ihnen ein präzises Bild vom Körperinneren eines Patienten liefern, unabhängig vom Körperumfang1 oder Gesundheitszustand.

    Außergewöhnliche Bilder für eine höhere Lebensqualität

    Wenn es um das Leben Ihrer Patienten geht, brauchen Sie die bestmögliche Bildqualität zur genauen Messung der Knochenmineraldichte, zur exakten Lokalisierung von Frakturen, zur Identifizierung von Aortenverkalkungen und zur Messung der Körperzusammensetzung.

    Hochauflösende Technologie

    Ein neuer Mehrkomponenten-Detektor ist mit derselben HD-Technologie ausgestattet, die auch in modernen CT-Geräten zum Einsatz kommt. Damit können Sie besonders detailreiche Bilder aufnehmen, auf die Sie sich auch bei der Bildgebung von schwergewichtigen und adipösen Personen verlassen können. Seine vielseitige Technologie ermöglicht eine schnelle und präzise Untersuchung verschiedenster Bereiche.

    Einfache Bedienung

    Das System ist schnell zu verstehen, einfach zu bedienen und verfügt über eine grafische Benutzeroberfläche, die von Anfang bis Ende höchst effizient durch den Untersuchungsvorgang führt. Zudem ist es mit einer Fülle an innovativen Tools für einen optimierten Workflow, schnellere Produktivität, sowie einfache Kommunikation und Zusammenarbeit mit anderen Ärzten ausgestattet, unabhängig von deren Standort.

    Mehr Patientenkomfort

    Mit dieser einen umfassenden Plattform sind Sie in der Lage, verschiedene chronische Erkrankungen mit nur einer Untersuchung zu beurteilen. Für Ihre Patienten bedeutet dies mehr Komfort, kurze Untersuchungszeiten und eine geringe Röntgendosis und für Sie eine Erweiterung Ihrer klinischen Dienstleistungen.

    Höherer Patientendurchsatz

    Der Detektor arbeitet mit einem neuen leistungsstarken Röntgengenerator mit hoher Wärmekapazität zugunsten einer längeren Lebensdauer – ohne Abkühlzeit. Dies sorgt für einen höheren Patientendurchsatz und optimiert zudem auch die Bildqualität. Die außergewöhnlich hochauflösenden Bilder des Systems bereichern Ihr diagnostisches Portfolio.*

    Tortendiagramm mit vergrößertem Tortensegment auf transparentem Hintergrund

    Maximaler Zeitvorteil

    Das Continuum of Care in der Brustgesundheit bietet integrierte Lösungen für klinische Sicherheit, Workflow-Effizienz und eine einfühlsame Patientenversorgung. Damit mehr Frauen länger gesünder sind.

    Neben anderen klinischen Anwendungen ist das Horizon DXA System Teil der Lösung für die Stoffwechselgesundheit.

    In Bewegung bleiben

    Diese Zahlen über die verheerenden Auswirkungen chronischer Erkrankungen sind erschreckend und ein Alarmsignal. Sie sind auch ein Zeichen für den wachsenden Bedarf an zuverlässigen Screeningverfahren, Früherkennung und individueller Versorgung, um Menschen überall auf der Welt zu einem längeren und gesünderen Leben zu verhelfen.

    Ab 50+

    erleiden jede dritte Frau und jeder fünfte Mann eine Fragilitätsfraktur2

    17 Millionen

    Menschen weltweit werden in diesem Jahr an einer Herz-Kreislauf-Erkrankung sterben3

    39 %

    der Erwachsenen sind weltweit übergewichtig oder adipös4

    Besuchen Sie unser virtuelles Krankenhaus

    Werfen Sie einen 3D-Blick auf unsere Lösungen in der virtuellen Abteilung für Knochengesundheit und im Raum für Stoffwechselgesundheit.

    Innenansicht des virtuellen Krankenhauses mit der virtuellen Abteilung für Knochengesundheit

    Eine Lösung mit mehreren Anwendungen

    Klinische Bilder

    Eine angenehme Patientenerfahrung

    • Eine schnelle, 10-minütige Untersuchung von Hüfte und Wirbelsäule.31
    • Die Patienten liegen auf einer bequemen, gepolsterten Liege.
    • Keine Injektionen, nicht-invasiv und schmerzfrei.
    • Keine Vorbereitung mit Ausnahme bequemer Kleidung ohne Metallteile, wie Schnallen, Knöpfe oder Reißverschlüsse.
    • Sehr niedrige Strahlenbelastung – weniger als ein Tag Hintergrundstrahlung.31
    Patientin auf Scan-Tisch im Untersuchungsraum.

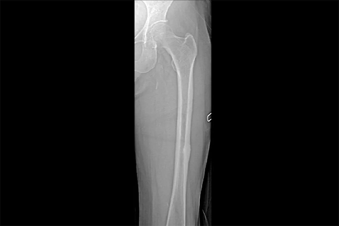
    Ein System, das mehr kann

      Horizon DXA erstellt hochwertige Röntgenbilder des gesamten Femurs zur Untersuchung auf mögliche atypische Femurfrakturen.31  Ein schneller Scan von 15 Sekunden zeigt eine Verdickung der Kortikalis des Knochens, sodass die Auswirkungen der Bisphosphonat-Therapie im Laufe der Zeit schnell und einfach überwacht werden können.

      Visualisierung von Kalkablagerungen in der Bauchaorta, einem signifikanten Hinweis auf Herzerkrankung und Apoplexie – zwei der Haupttodesursachen bei Männern und Frauen.

      Beurteilung des Frakturrisikos in Kombination mit einer präzisen Messung der Knochendichte mittels hochauflösender Bildgebung der Wirbelsäule. Feststellung von Wirbelsäulenfrakturen mit einer strahlungsarmen Einzel-Energie-Aufnahme in nur 10 Sekunden.

      Höhere Genauigkeit und weniger Analysefehler nach der Untersuchung mit präziser, softwareunterstützter Positionierung von Zwischenwirbelräumen zur grafischen Analyse.

      Das exklusive dynamische Kalibriersystem von Hologic sorgt für eine Pixel-für-Pixel-Kalibrierung durch Knochen- und Gewebeäquivalente – für höhere Langzeitpräzision.32

      Ein neues digitaler hochauflösender Keramikdetektor, gepaart mit realer Fan-Beam-Aufnahmegeometrie, ermöglicht schnelle Doppel-Energie-Knochendichtemessungen mit einem Single-Sweep-Scan. OnePass verhindert Strahlüberlappungsfehler und Bildverzerrungen, die für geradlinige Bilderfassungsverfahren typisch sind, und sorgt so für außergewöhnliche Bildqualität und Datenstabilität. Ein weiteres exklusives Leistungsmerkmal von Hologic.

      Eine innovative grafische Benutzeroberfläche vereinfacht die Patienteneinstellungen, das Scannen, die Bildarchivierung und die Datenübertragung – für einen optimierten Workflow und höhere Patientenzufriedenheit.

      Die Funktion MXApro™ der APEX™-Betriebssoftware bewertet automatisch die Wirbelverformung und überträgt die Daten direkt in die integrierte Diagnosefunktion Physician's Report Writer™. Auf diese Weise können Sie Ihren Workflow mit integrierter, papierloser Remote-Auswertung und Berichterstattung per Knopfdruck beschleunigen. Außerdem können Sie die Bilder und Daten überall und auf jedem beliebigen Gerät anzeigen und auswerten.

      Die IRIS™ Enterprise Connectivity Suite ist das Tor zur echten papierlosen Dichtemessung. Sie ermöglicht das Speichern von Bildern auf Ihrem PACS sowie das Herunterladen von demografischen und Untersuchungsdaten direkt von Ihrem KIS auf den Scanner, um Fehler zu minimieren und Kosten zu sparen. Sie können Knochendichte- und Instant Vertebral Assessment™ DICOM-Dateien auch an das Hologic Physicians Viewer™ Programm und PACS senden und dann Berichte über HL7 an Ihr KIS/RIS und die EPA senden. Mit unserer optionalen DB Sync™ Software können Sie sogar Daten zwischen Scannern an verschiedenen Standorten austauschen.

      Um 25 % geringerer Bedienaufwand mit automatisierter Patientenpositionierung und Scanerfassung. Die Express Exam™ Software führt Sie Schritt für Schritt durch den Vorgang.

      Evidenz. Einblicke. Zusammenarbeit.

      Unser Bildungsportal verbessert die Patientenversorgung durch hervorragende Schulungen, die Vermittlung klinischer und wissenschaftlicher Fakten sowie Partnerschaften mit den medizinischen Fachkreisen.

      Einblicke

      Radiologen bei der Durchsicht einer Tomosynthese-Mammografie auf einem Bildschirm Radiologen bei der Durchsicht einer Tomosynthese-Mammografie auf einem Bildschirm

      Die Ergebnisse der ToSyMa-Studie, eine 3D-Zukunft für die Brustkrebs-Vorsorgeuntersuchung

      Frauen vor einem Mammografiegerät mit medizinischem Fachpersonal an der Seite. Frauen vor einem Mammografiegerät mit medizinischem Fachpersonal an der Seite.

      Gegenwart und Zukunft der Programme für Brust- und Gebärmutterhalskrebs-Screening

      Arzt und Patientin im Gespräch über Brustkrebs Arzt und Patientin im Gespräch über Brustkrebs

      Minimalinvasive nichtoperative Brustkrebsbehandlungen

        *Im Vergleich zu früheren Modellen
        **FDA 510K Zulassung K023398, K041226, K042480, K130277 (AFF), K113356 (VAT), K103265 (Ganzkörper), K072847 (AAC), K060111 (AAC)
        1. Patientengewicht bis 227 kg (500 Pfund), MAN-04871 Rev 014 (10/2021)
        2. www.osteoporosis.foundation/facts-statistics/epidemiology-of-osteoporosis-and-fragility-fractures Aufgerufen am 3. Jan. 2023.
        3. https://www.who.int/news-room/fact-sheets/detail/cardiovascular-diseases-(cvds) Aufgerufen am 3. Jan. 2023
        4. www.who.int/news-room/fact-sheets/detail/obesity-and-overweight Aufgerufen am 3. Jan. 2023
        5. Johnell O and Kanis JA (2006) An estimate of the worldwide prevalence and disability associated with osteoporotic fractures. Osteoporos Int 17:1726.
        6. www.osteoporosis.foundation/facts-statistics/epidemiology-of-osteoporosis-and-fragility-fractures Aufgerufen am 3. Jan. 2023.
        7. Keene, G.S., M.J. Parker, and G.A. Pryor, Mortality and morbidity after hip fractures. BMJ, 1993. 307(6914): S. 1248-50
        8. Borgström F, Karlsson L, Ortsäter G, et al. International Osteoporosis Foundation. Fragility fractures in Europe: burden, management and opportunities. Arch Osteoporos. 2020 Apr 19;15(1):59. doi: 10.1007/s11657-020-0706-y. 
        9. https://www.osteoporosis.foundation/facts-statistics/epidemiology-of-osteoporosis-and-fragility-fractures Aufgerufen am 3. Jan. 2023.
        10. NIH, NHLBI Obesity Education Initiative. Clinical Guidelines on the Identification, Evaluation, and Treatment of Overweight and Obesity in Adults. / Kelly TL, Wilson KE, Heymsfield SB (2009) Dual energy X-Ray absorptiometry body composition reference values from NHANES.
        11. Cruz-Jentoft A.J., Baeyens J.P., Bauer J.M. et al. Sarcopenia: European consensus on definition and diagnosis: Report of the European Working Group on Sarcopenia in Older People, Age and Ageing, Band 39, Ausgabe 4, Juli 2010, Seiten 412–42
        12. Marques A. & Queiros C. Frailty, Sarcopenia and Falls. In: Hertz, K., Santy-Tomlinson, J. (Hrsg.) Fragility Fracture Nursing. Perspectives in Nursing Management and Care for Older Adults. Springer, Cham. https://doi.org/10.1007/978-3-319-76681-2_2
        13. Baumgarner R.N., Koehler K.M., Romero L. et al. Epidemiology of Sarcopenia among elderly in New Mexico. Am J 1998;147: 755-63
        14. Baumgarner R.N. Body Composition in Healthy aging ANN N Y Acad Sci 2000:904:437-48
        15. Hadji P, Aapro MS, Body JJ, et al. Management of Aromatase Inhibitor-Associated Bone Loss (AIBL) in postmenopausal women with hormone sensitive breast cancer: Joint position statement of the IOF, CABS, ECTS, IEG, ESCEO, IMS, and SIOG. J Bone Oncol. 2017 Mar 23;7:1-12. doi: 10.1016/j.jbo.2017.03.001. 
        16. Eastell R, Adams JE, Coleman RE, et al. Effect of anastrozole on bone mineral density: 5-year results from the anastrozole, tamoxifen, alone or in combination trial 18233230. J Clin Oncol. 2008 Mar 1;26(7):1051-7. doi: 10.1200/JCO.2007.11.0726. 
        17. Iyengar NM, Arthur R, Manson JE, et al. Association of Body Fat and Risk of Breast Cancer in Postmenopausal Women With Normal Body Mass Index: A Secondary Analysis of a Randomized Clinical Trial and Observational Study. JAMA Oncol. 2019 Feb 1;5(2):155-163. doi: 10.1001/jamaoncol.2018.5327. 
        18. Ballard-Barbash R, Schatzkin A, Carter CL, et al. Body fat distribution and breast cancer in the Framingham Study. J Natl Cancer Inst. 1990 Feb 21;82(4):286-90. doi: 10.1093/jnci/82.4.286. 
        19. E V Bandera, E M Johnl. Obesity, Body Composition, and Breast Cancer: An Evolving Science JAMA Oncol. 2018 Jun 1;4(6):804-805. doi: 10.1001/jamaoncol.2018.0125
        20. Freedman RJ, Aziz N, Albanes D, et al. Weight and body composition changes during and after adjuvant chemotherapy in women with breast cancer. J Clin Endocrinol Metab. 2004 May;89(5):2248-53. doi: 10.1210/jc.2003-031874. 
        21. Battisti S, Guida FM, Coppa F, et al. Modification of abdominal fat distribution after aromatase inhibitor therapy in breast cancer patients visualized using 3-D computed tomography volumetry. Clin Breast Cancer. 2014 Oct;14(5):365-70. doi: 10.1016/j.clbc.2014.02.003. Epub 2014 Mar 6. 
        22. https://www.europadonna.org/breast-cancer/#:~:text=1%20in%2011%20women%20in,younger%20than%2050%20years%20old* Aufgerufen am 13. Feb. 2023
        23. https://www.worldosteoporosisday.org/about-osteoporosis Aufgerufen am 13. Feb. 2023
        24. Kolb R, Zhang W. Obesity and Breast Cancer: A Case of Inflamed Adipose Tissue. Cancers (Basel). 2020 Jun 25;12(6):1686. doi: 10.3390/cancers12061686. PMID: 32630445; PMCID: PMC7352736.
        25. Han J., Harrison L., Patzelt L., et al. Imaging modalities for diagnosis and monitoring of cancer cachexia. EJNMMI Res. 2021 Sep 23;11(1):94. doi: 10.1186/s13550-021-00834-2. PMID: 34557972; PMCID: PMC8460705.
        26. Bailey DA, McKay HA, Mirwald RL, et al. A six-year longitudinal study of the relationship of physical activity to bone mineral accrual in growing children: the university of Saskatchewan bone mineral accrual study. J Bone Miner Res. 1999 Oct;14(10):1672-9. doi: 10.1359/jbmr.1999.14.10.1672. 
        27. Matkovic Timing of peak bone mass in Caucasian females and its implication or the prevention of Osteoporosis J Clin Invest 1994; 93,799-808
        28. Aktuelle klinische Praxis: Knochendichtemessung bei Patienten im Wachstum: Leitlinien für die klinische Praxis, herausgegeben von: A. J. Sawyer, L. K. Bachrach und E. B. Fung © Humana Press Inc., Totowa, NJ
        29. www.who.int/news-room/fact-sheets/detail/ageing-and-health#:~:text=The%20pace%20of%20population%20ageing,from%2012%25%20to%2022%25. Aufgerufen am 13. Feb.
        30. Sousa A.S., Guerra R.S., Fonseca I. et al. Financial impact of sarcopenia on hospitalization costs. Eur J Clin Nutr. 2016 Sep;70(9):1046-51. doi: 10.1038/ejcn.2016.73. Epub 2016 May 11.
        31. Horizon-Benutzerhandbuch MAN-08072-002 Rev 003
        32. Hangartner TN. A study of the long-term precision of dual-energy x-ray absorptiometry bone densitometers and implications for the validity of the least-significant-change calculation. Osteoporosis Int. 2007 Apr;18(4); 513-23

        2797
        0482

        Hologic BV, Da Vincilaan 5, 1930 Zaventem, Belgium.

        Kennnummer wo zutreffend
        Angaben EC-REP wo zutreffend