Cellient® Automated Cell Block System

Erhöhen Sie die diagnostische Sicherheit durch verbesserte Zellabscheidung.

Medizinisches Gerät auf Tisch in Laborumgebung.

    Übersicht

    Dokumente

    Schulung

    Nutzen Sie jeden Zellblock voll aus

    Der Cellient® automatisierte Gewebeprozessor ist ein vollautomatisches Zellblock-System. Mit einer Gesamtverarbeitungszeit von weniger als einer Stunde konzentriert die vakuumunterstützte Filtration schnell die verfügbaren Zellen im Block. Das System produziert durchgängig diagnostisch verwertbare, qualitativ hochwertige Blöcke für eine effiziente Durchsicht.1

    Verbessertes Zell-Capture

     

    Einsatz von vakuumunterstützter Filtration.

    Capture verfügbarer Zellen für maximale Zellularität, selbst von kleinen oder unzureichend erscheinenden Proben.

    Aufgebaut auf der ThinPrep® Technologie.

     

    Verbesserte Präsentation

     

    Unterstützt die Konservierung einer klaren Zellarchitektur.

    Sammelt Zellen in einem Block.

    Vereinfacht die pathologische Untersuchung und erhöht deren Produktivität.

     

    Verbesserte Konsistenz

     

    Erstellt hochwertige Blöcke.

    Vollautomatisches System mit geringer oder keiner Abhängigkeit vom Bediener.

    Geringeres Kreuzkontaminationsrisiko.

    Durchgängig kurze Prozesszeiten von 45 Minuten oder kürzer.

     

    Grafik, die den Zusammenhang zwischen Hologic Produkten darstellt

    Gemeinsam gegen Gebärmutterhalskrebs

    Als weltweit führendes Unternehmen im Bereich Frauenheilkunde und Vorsorgeprogramme setzen wir uns für die genaue und frühe Erkennung von Gebärmutterhalskrebs ein.  Von HPV über Zytologie bis hin zu KI-basierter digitaler Diagnostik bieten wir ein umfassendes und einzigartiges Screening-Portfolio von der Probenentnahme bis zur Diagnose.

    Für Zellblöcke geeignete Probentypen

    • Mittels Feinnadelaspiration (FNA) entnommene Proben von Lunge, Leber, Schilddrüse, Brust, Lymphknoten und anderen Körperstellen
    • Körperflüssigkeiten: Pleura-, Aszites- und Perikardflüssigkeit
    • Atemwegserkrankungen: Bronchiallavage, Bürstenbiopsie der Bronchien, Sputum
    • Zervikal1
    Labortechniker bei der Betrachtung einer Probe im Labor

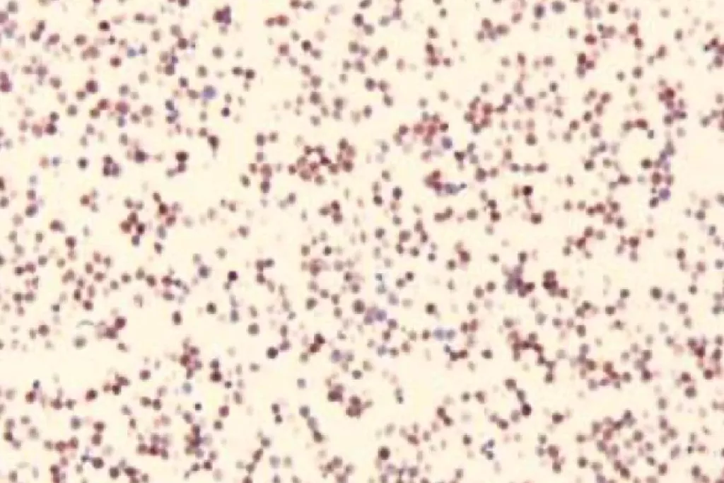
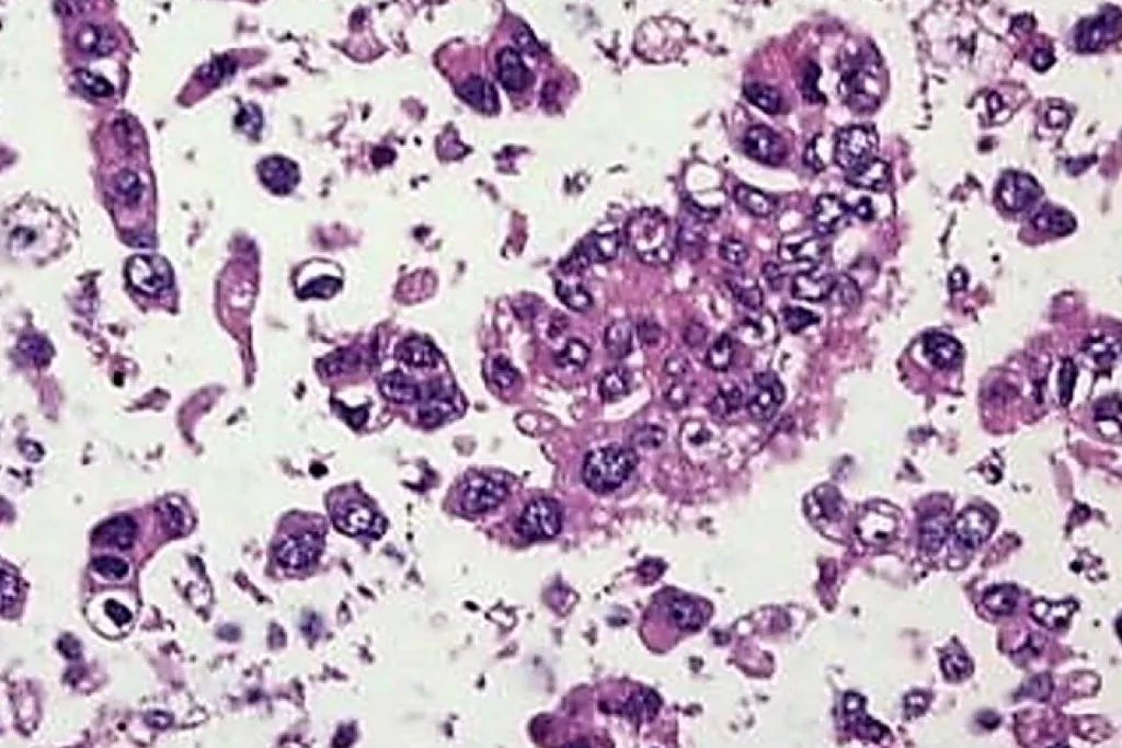
    Bildergalerie2

    Evidenz. Einblicke. Zusammenarbeit.

    Unser Bildungsportal verbessert die Patientenversorgung durch hervorragende Schulungen, die Vermittlung klinischer und wissenschaftlicher Fakten sowie Partnerschaften mit den medizinischen Fachkreisen.

    Einblicke

    Frauen vor einem Mammografiegerät mit medizinischem Fachpersonal an der Seite. Frauen vor einem Mammografiegerät mit medizinischem Fachpersonal an der Seite.

    Gegenwart und Zukunft der Programme für Brust- und Gebärmutterhalskrebs-Screening

    Gesundheitsdienstleister bei der Ansicht von Scan-Bildern auf dem Bildschirm Gesundheitsdienstleister bei der Ansicht von Scan-Bildern auf dem Bildschirm

    FDA-Marktzulassung für Genius™ Digital Diagnostics System

    Infografik mit Gebärmutterhalskrebs-Screeningbild Infografik mit Gebärmutterhalskrebs-Screeningbild

    Entdecken Sie die Zukunft der Gebärmutterhalskrebs-Vorsorge

      1. Benutzerhandbuch Cellient automatisierter Zellblock-Gewebeprozessor, MAN-08346-002, Rev. 002
      2. Bild mit freundlicher Genehmigung der Abteilung für Zytologie des Universitätsklinikums Groningen, Niederlande

      Sicherheitsdatenblätter

      Packungsbeilagen

       

      2797
       

      Hologic BV, Da Vincilaan 5, 1930 Zaventem, Belgium.

      Kennnummer wo zutreffend